A budding opportunity

Die Blüten der Königskerze (Verbascum densiflorum) werden häufig Hustentees beigemischt, weil sie als reizstillend und schleimlösend gelten. Foto: Uwe Dettmar

Exploring the potential of Herbal Medicinal Products Herbal Medicinal Products (HMPs) have nothing to do with homeopathy or food supplements. And they also differ from conventional drugs. Beatrice Bachmeier is […]

Rüdiger Weber, Finanzwirtschaftler

Rüdiger Weber, Foto: Jürgen Lecher, Goethe-Universität Frankfurt

Auf einmal wird es ganz einfach: Seit einem halben Jahr hat Rüdiger Weber am Fachbereich Wirtschaftswissenschaften die Stiftungsprofessur „Alternative Investments“ inne, vertritt an der Goethe-Universität demnach das Fach „Finance“ (Finanzwesen), […]

#GoetheDataDive 08: Graduate survey

Only 2.3% of graduates from the examination cohorts of 2020, 2021, and 2022 are seeking employment 1.5 years after graduation. Source: Student Survey | Studium Lehre Internationales - Statistics Unit (Statistics Unit/QUIKKS, sli-quikks@uni-frankfurt.de)

Only 2.3% of graduates from the examination cohorts of 2020, 2021 and 2022 are seeking employment 1.5 years after graduation. This shows that studying at Goethe University Frankfurt is a […]

Starthilfe für schnelles Wachstum

Um Patienten besser auf große Operationen vorzubereiten, wurde bei Capreolos eine spezielle App entwickelt. Foto: Privat

Um Forschungsergebnisse in die praktische Umsetzung zu bringen, helfen Innovectis und Unibator beim Überwinden von Hürden Aus dem Fachbereich Medizin heraus gründen Frankfurter Wissenschaftler junge Unternehmen. Damit überführen sie akademisches […]

Jumpstart for rapid growth

Um Patienten besser auf große Operationen vorzubereiten, wurde bei Capreolos eine spezielle App entwickelt. Foto: Privat

Overcoming hurdles and putting research results into practice with the help of Innovectis and Unibator Scientists from Goethe University Frankfurt’s Faculty of Medicine are launching their own companies – and […]

#GoetheDataDive 08: Absolvent*innenstudie

Nur 2,3% der Absolvent*innen der Prüfungsjahrgänge 2020, 2021 und 2022 sind 1,5 Jahre nach dem Abschluss arbeitssuchend. #GoetheDataDive Quelle: Studierendenwerk Frankfurt am Main

Nur 2,3% der Absolvent*innen der Prüfungsjahrgänge 2020, 2021 und 2022 sind 1,5 Jahre nach dem Abschluss arbeitssuchend. Damit zeigt sich, dass das Studium an der Goethe-Universität Frankfurt ein guter und […]

Right on target

Maike Windbergs, Foto: Uwe Dettmar

New strategies for targeted drug delivery Even the best drug in the world is completely useless if the active substance fails to reach the site of action in the body […]

Treffsicher ins Ziel

Maike Windbergs, Foto: Uwe Dettmar

Neue Strategien sollen Wirkstoffe genau dorthin bringen, wo sie gebraucht werden Das beste Medikament ist völlig nutzlos, wenn der Wirkstoff im Körper nicht dort ankommt, wo er die Krankheit bekämpfen […]

10 Jahre Rhein-Main-Universitäten

Jubiliäumslogo 10 Jahre Rhein-Main Universitäten

Die Rhein-Main-Universitäten (RMU) feiern dieses Jahr ihr 10-jähriges Jubiläum! Das hat die RMU zum Anlass genommen, ihr neues Corporate Design, das im vergangenen Herbst gelauncht wurde, zu ergänzen: Das neue […]

Ein Werkzeugkasten für neue Arzneistoffe

Hochdurchsatzanalyse: Ein Pipettierroboter bereitet Proben für die Proteinanalyse vor. Nach chromatographischer Auftrennung werden massenspektrometrisch die Molekularmassen bestimmt. Foto: Uwe Dettmar

Neue Substanzbank soll Forschung und Arzneimittelentwicklung beschleunigen Viele Medikamente basieren auf Kleinmolekülen. Sie entfalten ihre heilende Wirkung im Körper, indem sie ein Protein aktivieren oder hemmen. Um neue Arzneistoffe zu […]

Toolbox for the development of new therapies

Hochdurchsatzanalyse: Ein Pipettierroboter bereitet Proben für die Proteinanalyse vor. Nach chromatographischer Auftrennung werden massenspektrometrisch die Molekularmassen bestimmt. Foto: Uwe Dettmar

A new substance library will accelerate drug research and development Many drugs are based on small molecules. They release their healing effect in the body by activating or inhibiting a […]

Einladung zur ersten RMU-Stipendienmesse am 14. Mai 2025

Stipendien eröffnen Perspektiven – für Studierende ebenso wie für Hochschulen, die Vielfalt fördern möchten. Die Geschichten von Elif (Jura-Studentin, JGU Mainz), Camilo (Student der Friedens- und Konfliktforschung, Goethe-Universität) und Nathalie […]

Targeted removal of disease triggers

Dr. Ah Jung Heo, Postdoc im Labor Đikic, forscht daran, wie krankheitsrelevante Proteine gezielt abgebaut werden könnten. Foto: Peter Kiefer

How reprogramming cells can degrade harmful proteins and combat diseases Ubiquitin is a small protein present in the cells of almost all organisms. It is – nomen est omen – […]

Krankmacher gezielt entsorgen

Dr. Ah Jung Heo, Postdoc im Labor Đikic, forscht daran, wie krankheitsrelevante Proteine gezielt abgebaut werden könnten. Foto: Peter Kiefer

Wie durch Umprogrammierung von Zellen schädliche Proteine abgebaut und Krankheiten bekämpft werden können Das kleine Protein Ubiquitin kommt in den Zellen fast aller Organismen vor; wie sein Name widerspiegelt, ist […]

Antikörper-Amulette

Das Collier mit dem sprechenden Titel »Engineered Antibody« von 2016. Foto: Foto: Anna Dumitriu

Biotech-Schmuck von Anna Dumitriu Ein herzförmiger, mit Saphiren besetzter goldglänzender Anhänger an einer breiten Schleife aus cremefarbener Seide, die um den Hals getragen wird; Perlen in Rot, Orange, Goldgelb und […]

Antibody amulets

Das Collier mit dem sprechenden Titel »Engineered Antibody« von 2016. Foto: Foto: Anna Dumitriu

Anna Dumitriu’s biotech jewelry A glittering, heart-shaped gold pendant set with sapphires on a wide bow of cream-colored silk as a necklace; pearls in red, orange, golden yellow and milky […]

Therapie mit Bakterien

Wie Medikamente sehen die Kapseln aus, über die Patienten »gute« Bakterien zu sich nehmen, die Krankheitserreger im Darm verdrängen können. Foto: AG Maria Vehreschild

Wie »gute« Darmbakterien gefährliche Erreger bekämpfen könnten Dank Antibiotika haben bakterielle ­Infektionen ihren Schrecken weitgehend verloren. Für Menschen mit geschwächtem Immun­system, zum Beispiel nach einer Transplantation, sind die Erreger jedoch […]

Therapy with bacteria

Wie Medikamente sehen die Kapseln aus, über die Patienten »gute« Bakterien zu sich nehmen, die Krankheitserreger im Darm verdrängen können. Foto: AG Maria Vehreschild

How “good” intestinal bacteria could fight dangerous pathogens Thanks to antibiotics, bacterial infections have largely lost their threat. However, for people with a weakened immune system, for example after an […]

Resistente Erreger im Visier

Auf solchen Kulturplatten wird im Institut für Medizinische Mikrobiologie und Krankenhaushygiene geprüft, ob Bakterien Resistenzen gegen Antibiotika zeigen. Foto: Universitätsklinikum Frankfurt

Strategien gegen die Rückkehr gefährlicher Infektionskrankheiten Resistente Krankheitserreger sind weltweit auf dem ­Vormarsch. Der Mikrobiologe Volkhard Kempf und seine Mitarbeiterinnen und Mitarbeiter setzen ihre Hoffnung in eine neue Gruppe von […]

Resistant pathogens in our sights

Auf solchen Kulturplatten wird im Institut für Medizinische Mikrobiologie und Krankenhaushygiene geprüft, ob Bakterien Resistenzen gegen Antibiotika zeigen. Foto: Universitätsklinikum Frankfurt

Strategies to stop the return of infectious diseases Worldwide, resistant pathogens are gaining ground. Medical Microbiologist and Infection Control specialist Volkhard Kempf and his team are pinning their hopes on […]

Wertvolle Fracht in Lipid-Verpackung

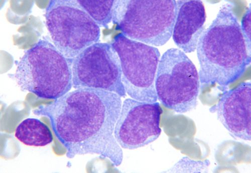
Knochenmarkausstrich eines Kindes, das an einer Leukämie erkrankt ist. Die violett gefärbten unreifen Leukämiezellen (Blasten) verdrängen die normale Blutbildung. Foto: Jan-Henning Klusmann, Universitätsklinikum Frankfurt

Wie Krebszellen ausgetrickst werden Der Onkologe Jan-Henning Klusmann erprobt eine neuartige Therapie gegen die tückische Leukämieerkrankung AML. Krebszellen werden dabei direkt angegriffen, gesunde Zellen aber geschont. Nach erfolgreichen Tests an […]

Smuggling precious cargo in lipid packaging

Knochenmarkausstrich eines Kindes, das an einer Leukämie erkrankt ist. Die violett gefärbten unreifen Leukämiezellen (Blasten) verdrängen die normale Blutbildung. Foto: Jan-Henning Klusmann, Universitätsklinikum Frankfurt

How to trick cancer cells Oncologist Jan-Henning Klusmann is testing a new type of therapy against AML, a particularly perfidious form of leukemia. It attacks cancer cells but spares healthy […]

May 8, 1945 remains a perpetual reminder

Statement by Goethe University on the anniversary of the liberation from fascism 80 years after the end of the World War II, May 8th has a special significance as the […]

Der 8. Mai 1945 bleibt immerwährende Mahnung

Statement der Goethe-Universität zum Jahrestag der Befreiung vom Faschismus 80 Jahre nach dem Ende des Zweiten Weltkriegs kommt dem 8. Mai als Jahrestag der Befreiung Deutschlands vom Nationalsozialismus eine besondere […]

Körpereigene Killerzellen als Waffe gegen Krebs

Attacke durch CAR-T-Zelle: Leukämiezellen (1) werden durch eine gentechnisch veränderte T-Zelle angegriffen, die sich zunächst an eine Tumorzelle anheftet (2) und dann Zellgifte in diese injiziert (3), woraufhin die Leukämiezelle in Partikel zerfällt (4). Foto: Science Photo Library/EYE OF SCIENCE

Was gegen Blutkrebs schon funktioniert, soll bald auch gegen andere Tumoren helfen Gentechnisch veränderte Immunzellen sind eine scharfe Waffe gegen Blut- und Lymphdrüsenkrebs. Der Zelltherapie-Schwerpunkt des Universitätsklinikum Frankfurt sucht nach […]

Frankfurter Preis für Umwelt und Nachhaltigkeit 2025

Auch in diesem Jahre werden insgesamt vier Qualifikationsarbeiten im Feld der Umwelt- und sozial-ökologischen Nachhaltigkeitsforschung an der Goethe-Universität mit dem Frankfurter Preis für Umwelt und Nachhaltigkeit ausgezeichnet. Die Gewinner*innen des […]

You cannot copy content of this page